葉欽志牙醫診所
    • 診所介紹
    • 醫師團隊
    • 醫療項目
      • 重點治療項目
        • 人工植牙
        • 隱形矯正
        • 全瓷牙冠
        • 美白貼片
        • 牙周病治療
        • 舒眠鎮靜治療
        • 全口重建(All-on-4)
        口腔外科治療項目
        • 智齒手術
        • 微創手術
        • 齒源性細菌感染
        • 牙齒.顎骨外傷
        • 口腔黏膜病變
    • 案例分享
      • 人工植牙
      • 數位導板植牙
      • 牙齒顎骨外傷
      • 智齒拔除
      • 齒源性感染
      • 黏膜治療
    • 門診時間
    • 最新消息
    全口重建
    案例分享
    • 人工植牙
    • 微創手術
    • 智齒手術
    • 牙齒顎骨外傷治療
    • 口腔黏膜病變治療
    • 齒源性細菌感染治療

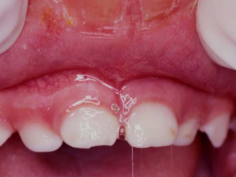
    牙齒顎骨外傷治療

    • 首頁
    • 案例分享
    • 牙齒顎骨外傷治療

    葉欽志牙醫診所

    • 950 台東縣台東市博愛路338號
    • 08-932-1117
    • 08-934-6635
    • Design by GTUT
    • 網站地圖
    • 隱私權政策
    • Line
    • Messenger
    • Phone
    • Facebook